Μετά από χειρουργική επέμβαση που πραγματοποιήθηκε το πρωί της Τρίτης, οι γιατροί του Ιπποκρατείου Νοσοκομείου, παιδογαστρεντερολόγοι μαζί με τους παιδοαναισθησιολόγους κατάφεραν να αφαιρέσουν με επιτυχία ένα μεταλλικό σκυλάκι από τον οισοφάγο ενός αγοριού 4,5 ετών από τις Σέρρες.
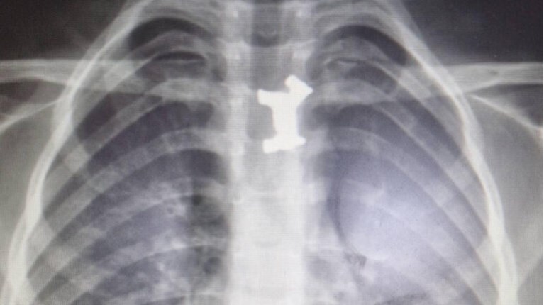
Το αγοράκι εμφάνισε σιελόρροια, οι γονείς του το πήγαν στο Γενικό Νοσοκομείο Σερρών όπου εξετάστηκε από τους γιατρούς, η ακτινογραφία έδειξε ότι είχε καταπιεί και είχε σφηνώσει στον οισοφάγο του ένα μεταλλικό παιχνίδι. Αποφασίστηκε η διακομιδή του στο Ιπποκράτειο Νοσοκομείο Θεσσαλονίκης.
Εκεί οι παιδίατροι ακολούθησαν την προβλεπόμενη διαδικασία σε αντίστοιχες περιπτώσεις, το πρωί υποβλήθηκε σε χειρουργική επέμβαση και οι γιατροί κατάφεραν να αφαιρέσουν με επιτυχία το μεταλλικό σκυλάκι από τον οισοφάγο του παιδιού.
Ο μικρός νοσηλεύεται προληπτικά και είναι καλά στην υγεία του. Το σκυλάκι προερχόταν από γνωστό επιτραπέζιο παιχνίδι.

                        Οι πιο πρόσφατες Ειδήσεις
                        
                        Διαβάστε πρώτοι τις Ειδήσεις για ό,τι συμβαίνει τώρα στην Ελλάδα και τον Κόσμο στο thetoc.gr
                    
