Follow us

ΚΟΚΑΙΝΗ

ΔΙΕΘΝΕΣ ΚΥΚΛΩΜΑ 31 Αυγ 2025 | 18:56
18 Αυγ 2025 | 13:19

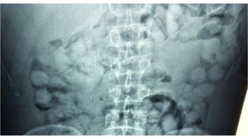
"Ελ. Βενιζέλος": Συνελήφθη Βραζιλιάνος που είχε καταπιεί 100 "αυγουλάκια" κοκαΐνης

Ο άνδρας έφτασε στην Αθήνα, μέσω Παρισιού και στον έλεγχο που διενεργήθηκε, διαπιστώθηκε ότι είχε καταπιεί περίπου 100 "αυγουλάκια" κοκαΐνης.

ΑΑΔΕ 17 Αυγ 2025 | 10:35

Μισός τόνος ναρκωτικών αξίας 1.500.000 ευρώ, κάτω από κουρτίνες, σεντόνια και υφάσματα στο Ελ. Βενιζέλος

To KHAT, η φυσική κόκα, όπως αποκαλείται, ήταν κρυμμένη μέσα σε τέσσερις φορτωτικές με εμπορεύματα δηλωμένα ως κουρτίνες, σεντόνια και υφάσματα, διαμετακομιζόμενα από το Ισραήλ

ΧΕΙΡΟΠΕΔΕΣ 14 Αυγ 2025 | 23:26

Καλαμάτα: Συλλήψεις δύο νεαρών για διακίνηση κοκαΐνης μετά από καταδίωξη

Αστυνομικοί της Ομάδας ΔΙ.ΑΣ. Μεσσηνίας, έχοντας πληροφορίες, τους εντόπισαν στον κόμβο του Ασπροχώματος να κινούνται με μοτοσικλέτα και τους έκαναν σήμα να σταματήσουν

ΣΤΟ ΛΙΜΑΝΙ ΤΗΣ ΘΕΣΣΑΛΟΝΙΚΗΣ 13 Αυγ 2025 | 08:29

Θεσσαλονίκη: Πώς οι διακινητές προσπάθησαν να κρύψουν τα 271 κιλά κοκαΐνης από το Εκουαδόρ στο πάτωμα του κοντέινερ

Οι αρχές είχαν πληροφορίες ότι αρχηγικά μέλη καρτέλ κοκαΐνης με έδρα το Εκουαδόρ, ήταν οι προμηθευτές μεγάλων ποσοτήτων ναρκωτικών που έκρυβαν σε κρύπτη στο πάτωμα εμπορευματοκιβωτίου.

ΣΕ ΚΟΝΤΕΙΝΕΡ 10 Αυγ 2025 | 16:26

Θεσσαλονίκη: Φορτίο κοκαΐνης αξίας 5,5 εκατομμυρίων ευρώ ξετρύπωσε η αστυνομία - Για πού προοριζόταν [εικόνες - βίντεο]

Το κοντέινερ με τα ναρκωτικά είχε εντοπιστεί στο λιμάνι της Θεσσαλονίκης την Τετάρτη 6 Αυγούστου και οι συλλήψεις στον Ασπρόπυργο έγιναν χθες

ΠΡΟΦΥΛΑΚΙΣΤΗΚΑΝ 08 Αυγ 2025 | 22:19

Στην φυλακή ο πρώην αστυνομικός TikToker και ο 22χρονος που συνελήφθησαν για διακίνηση κοκαΐνης

Ο πρώην αστυνομικός, σύμφωνα με πληροφορίες, αρνείται την κατηγορία ισχυριζόμενος ότι ούτε γνώριζε, ούτε αντιλήφθηκε ότι ο φίλος του είχε αυτή την ποσότητα κοκαΐνης

ΝΕΑ ΣΤΟΙΧΕΙΑ 05 Αυγ 2025 | 11:56

Φίλος του πρώην αστυνομικού προσπάθησε να ξεφορτωθεί τα ναρκωτικά – Πώς παγιδεύτηκε ο TikToker, τι βρέθηκε στο σπίτι του

Συνεχίζονται οι αποκαλύψεις για τον πρώην αστυνομικό και ινφλουένσερ ο οποίος συνελήφθη για κατοχή και διακίνηση ναρκωτικών.

ΔΥΟ ΜΑΧΑΙΡΙΑ ΚΑΙ ΣΙΔΕΡΟΓΡΟΘΙΑ 01 Αυγ 2025 | 09:38

Θεσσαλονίκη: Συνελήφθη 33χρονος με ναρκωτικά... φουλ έξτρα: Κοκαΐνη, κάνναβη, "σοκολάτα" και MDMA

Ένας 33χρονος συνελήφθη στη Θεσσαλονίκη για διακίνηση ναρκωτικών.

ΠΩΣ ΔΡΟΥΣΑΝ 23 Ιουλ 2025 | 08:15

Ν. Ικόνιο: Ο "αρχηγός" με την Πόρσε έκρυβε την κοκαΐνη στην… κατάψυξη - Παρέσυρε αστυνομικό πριν τον συλλάβουν

Η εγκληματική οργάνωση μετέφερε μεγάλες ποσότητες κοκαΐνης μέσω εμπορευματοκιβωτίων από την Λατινική Αμερική, κρυμμένες στους μηχανισμούς κατάψυξης.

ΕΛΑΣ 22 Ιουλ 2025 | 18:11

Ν. Ικόνιο: Αυτός είναι ο "αρχηγός" με την Πόρσε που διακινούσε κοκαΐνη από τη Λατινική Αμερική μέσα σε κοντέινερ

Ο 36χρονος ήταν ο οδηγός της Πόρσε που καταδίωξαν οι αστυνομικοί, όταν τον εντόπισαν να περιμένει έξω από το λιμάνι, προκειμένου να παραλάβει τα ναρκωτικά

Επόμενη σελίδα