Follow us

ΘΕΣΣΑΛΟΝΙΚΗ

Περιηγηθείτε στο thetoc.gr και ενημερωθείτε για όλα τα γεγονότα που αφορούν την Θεσσαλονίκη! Η δημοσιογραφική μας ομάδα μεταφέρει στις οθόνες σας τις πιο σημαντικές ειδήσεις του σήμερα!

ΕΞΕΛΙΞΕΙΣ 31 Ιαν 2022 | 20:30

Βιασμός Γεωργίας Μπίκα: Θρίλερ με τα αποτελέσματα των τοξικολογικών εξετάσεων - Το κρίσιμο μέιλ με το τελικό πόρισμα

Πότε θα παραδοθεί στις Αρχές ο φάκελος με το τελικό πόρισμα - Για συμπληρωματική κατάθεση θα κληθεί η Γεωργία Μπίκα

ΑΠΟ ΤΙΣ 15 ΕΩΣ ΤΙΣ 20 ΜΑΡΤΙΟΥ ΤΟΥ 2021 31 Ιαν 2022 | 19:23

Θεσσαλονίκη: 39χρονος κατηγορείται ότι βίασε τρεις γυναίκες ένα μήνα μετά την αποφυλάκισή του, για τη δολοφονία ενός ψυχίατρου

Στο εδώλιο του Μικτού Δικαστηρίου Θεσσαλονίκης κάθισε σήμερα ένας 39χρονος που κατηγορείται ότι βίασε και λήστεψε τρεις γυναίκες στη Θεσσαλονίκη

ΑΝΑΡΤΗΣΗ ΣΤΟ FACEBOOK 31 Ιαν 2022 | 18:38

Ηλίας Γκιώνης: Γιατί τον μήνυσε ο Πρόεδρος της Ένωσης Αστυνομικών Θεσσαλονίκης

Όπως έγραψε ο κ. Τσαϊρίδης σε ανάρτησή του στο Facebook, προχωρά σε μήνυση εις βάρος του Ηλία Γκιώνη

ΤΑ ΣΤΟΙΧΕΙΑ ΤΟΥ ΕΟΔΥ 31 Ιαν 2022 | 17:40

Κορονοϊός: 5.748 τα νέα κρούσματα στην Αττική, πάνω από 2.000 στη Θεσσαλονίκη - Σταθερά τρίτη η Κρήτη

Επιμένει ο κορονοϊός στην Κρήτη - Τριψήφια νούμερα κρουσμάτων σε πολλές της χώρας - Αναλυτικά ο χάρτης της διασποράς.

ΙΠΠΟΚΡΑΤΕΙΟ 31 Ιαν 2022 | 16:11

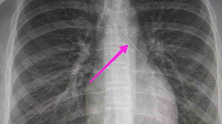
Θεσσαλονίκη: Ανήλικη κατάπιε καρφίτσα- Βρέθηκε "σφηνωμένη" στον δεξιό κύριο βρόγχο

Η ανήλικη υπεβλήθη σε βρογχοσκόπηση και διαπιστώθηκε η μετακίνηση και ενσφήνωση της καρφίτσας στον δεξιό κύριο βρόγχο

Η ΥΠΟΘΕΣΗ ΕΚΔΙΚΑΣΤΗΚΕ ΣΗΜΕΡΑ 31 Ιαν 2022 | 15:52

Θεσσαλονίκη - Νέα υπόθεση revenge porn: 53χρονη καταγγέλλει ότι το βίντεο στάλθηκε ακόμα και σε συγγενείς της

Μια 53χρονη καταγγέλλει εκδικητική πορνογραφία. Προσωπικό βίντεο στάλθηκε από έναν άνδρα στις επαφές της ακόμα και στους συγγενείς της.

ΣΤΟΧΟΣ ΑΚΡΟΔΕΞΙΩΝ 31 Ιαν 2022 | 15:39

Θεσσαλονίκη: Βανδαλισμός των γραφείων του ΣΥΡΙΖΑ στη Θέρμη

Τον βανδαλισμό των γραφείων του στη Θέρμη καταγγέλλει ο ΣΥΡΙΖΑ

ΤΙ ΘΑ ΠΕΡΙΛΑΜΒΑΝΕΙ ΤΟ ΝΕΟ ΜΕΓΑΛΟ ΕΡΓΟ 31 Ιαν 2022 | 15:26

Η κοινοπραξία "ΑΒΑΞ – Μυτιληναίος", προσωρινός ανάδοχος για τον αυτοκινητόδρομο FlyOver της Θεσσαλονίκης [εικόνες - βιντεο]

Η κοινοπραξία ΑΒΑΞ -ΜΗΤΙΛΗΝΑΙΟΣ Α.Ε. ορίσθηκε ο Προσωρινός Ανάδοχος για το οδικό έργο μέσω ΣΔΙΤ "Νέα Ανατολική Περιφερειακή Οδός Θεσσαλονίκης" (FlyOver), προϋπολογισμού 373 εκ. ευρώ

«ΠΑΡΚΑΡΑΝ» ΣΤΟΝ ΛΕΥΚΟ ΠΥΡΓΟ 31 Ιαν 2022 | 14:11

Η Θεσσαλονίκη έγινε...Οτάβα: Δεκάδες τουριστικά λεωφορεία διέσχισαν την πόλη - Διαμαρτύρονται για τα μέτρα [Βίντεο]

Κονβόι τουριστικών λεωφορείων στο κέντρο της Θεσσαλονίκης, ως ένδειξη διαμαρτυρίας για τα προβλήματα που αντιμετωπίζει ο κλάδος λόγω της πανδημίας.

ΘΕΣΣΑΛΟΝΙΚΗ 31 Ιαν 2022 | 11:33

Βιασμός Θεσσαλονίκη: Γκαζάκια στον δικηγόρο που επιτέθηκε στη Γεωργία- Στην ίδια πολυκατοικία και ο μετρ του Αχίλλειον..

Στοχοποίηση βλέπει πίσω από την έκρηξη στο κτίριο του γραφείου του, ο Θ. Αλεξόπουλος. Είναι δικηγόρος του 27χρονου που εμπλέκεται στην υπόθεση βιασμού της Γ. Μπίκα

ΣΤΕΛΛΑ ΒΑΧΤΑΝΙΔΟΥ 31 Ιαν 2022 | 10:31

Μαθήτρια - φαινόμενο από την Πολίχνη μετρά δεκάδες διακρίσεις: Από το πιάνο μέχρι τα μαθηματικά και τη λογοτεχνία

Πριν καλά καλά κλείσει τα 16 της χρόνια, η Στέλλα μετρά ήδη διακρίσεις σε διαγωνισμούς μαθηματικών, βραβεία στη λογοτεχνία και δεκάδες πρωτιές στο πιάνο.

Επόμενη σελίδα