Follow us

Οι γιατροί νόμιζαν ότι είχε καρκίνο, αλλά ο όγκος ήταν ένα Playmobil !

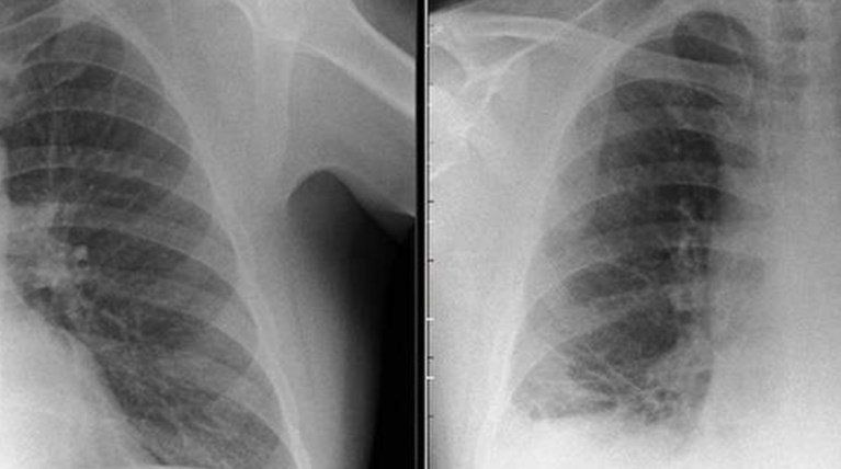
Οι γιατροί του Royal Preston Hospital στο Λάνκασιρ της Αγγλίας έστειλαν για εξετάσεις έναν ασθενή που θεώρησαν ότι είχε προσβληθεί από καρκίνο. Ωστόσο, εξεπλάγησαν..

THETOC TEAM
ΓΡΑΦΕΙ: THETOC TEAM
Οι γιατροί νόμιζαν ότι είχε καρκίνο, αλλά ο όγκος ήταν ένα Playmobil !

Οι γιατροί του Royal Preston Hospital στο Λάνκασιρ της βορειοδυτικής Αγγλίας έστειλαν άρον-άρον για εξετάσεις έναν ασθενή που υποπτεύονταν ότι είχε προσβληθεί από καρκίνο των πνευμόνων.

Φανταστείτε την έκπληξή τους όταν διαπίστωσαν ότι ο όγκος ήταν ένα μικρός πλαστικός κώνος Playmobil που είχε σφηνωθεί στον πνεύμονα του.

Ο 47χρονος είχε καταπιεί το παιχνίδι όταν ήταν παιδί. Του είχαν χαρίσει οι γονείς του ένα σετ Playmobil στα έβδομα γενέθλιά του. Το αξιοπερίεργο είναι ότι δεν είχε παρουσιάσει κανένα σύμπτωμα επί τέσσερις ολόκληρες δεκαετίες, μέχρι που άρχισε να βήχει δυνατά, να βγάζει φλέματα και να νιώθει έντονη αδιαθεσία.

Οι γιατροί νόμιζαν ότι είχε καρκίνο, αλλά ο όγκος ήταν ένα Playmobil !

Ειδικοί λένε ότι ουδέποτε στο παρελθόν ένα αντικείμενο δεν είχε παραμείνει επί τόσο διάστημα κρυμμένο στον οργανισμό ενός ασθενούς.

Το παιχνίδι αφαιρέθηκε τελικά στο χειρουργείο.

Πρόκειται για μια ασυνήθιστη στα ιατρικά χρονικά περίπτωση για ενήλικες, που περιγράφεται ως «ξένο σώμα τραχειοβρογχικού δέντρου». Ωστόσο είναι συνηθισμένη σε παιδιά.

Όπως ανέφερε το BMJ Case Reports οι γιατροί όταν είδαν τις ακτινογραφίες θεώρησαν ότι ο όγκος που διακρινόταν στον πνεύμονα του 47χρονου ήταν καρκίνος, μέχρι που έμαθαν την αλήθεια.

Μετά την αφαίρεση του αντικειμένου με βρογχοσκόπηση ο ασθενής ανέφερε ότι όταν ήταν μικρός έπαιζε και συχνά κατάπινε μικρά κομμάτια από Playmobil. Τέσσερις μήνες μετά την επέμβαση ο βήχας του εξαφανίστηκε κι έχει σχεδόν αναρρώσει πλήρως.

Οι πιο πρόσφατες Ειδήσεις

Διαβάστε πρώτοι τις Ειδήσεις για ό,τι συμβαίνει τώρα στην Ελλάδα και τον Κόσμο στο thetoc.gr

Τι ανεβάζει ο Βασίλης Μπισμπίκης τη νέα χρονιά;

Μετά τα συνεχόμενα sold out του "Άνθρωποι και ποντίκια" και τις ανθρώπινες ιστορίες στα όρια, ο Βασίλης Μπισμπίκης ετοιμάζει νέα πρεμιέρα. Τον Ιανουάριο ανεβάζει στο Cartel τον "Σωσμένο" του Μποντ, ένα έργο που απαγορεύτηκε αρχικά από τις βρετανικές θεατρικές αρχές.

ΣΕ ΗΛΙΚΙΑ 65 ΕΤΩΝ 27 Δεκ 2025 | 09:21

Βρετανία: Πέθανε ο Πέρι Μπαμόντε του θρυλικού συγκροτήματος The Cure

Ο Μπαμόντε ήταν βασικό μέλος του εναλλακτικού ροκ συγκροτήματος The Cure

ΟΛΑ ΟΣΑ ΕΙΠΕ 25 Δεκ 2025 | 19:35

"Να ηρεμήσουν τα μυαλά μας": Το Χριστουγεννιάτικο μήνυμα του Κάρολου για την τεχνολογική αποτοξίνωση

Ο Βασιλιάς Κάρολος αναφέρθηκε στο θέμα της ψηφιακής αποσυμφόρησης, παραπέμποντας στον Τ.Σ. Έλιοτ.

ΤΙ ΣΥΝΕΒΗ 23 Δεκ 2025 | 15:33

Βρετανία: Η Γκρέτα Τούνμπεργκ συνελήφθη σε διαδήλωση υπέρ των Παλαιστινίων στο Λονδίνο

Η Τούνμπεργκ συνελήφθη επειδή κρατούσε πλακάτ που "υποστήριζε τρομοκρατική οργάνωση"

ΦΡΙΚΗ ΣΤΗ ΒΡΕΤΑΝΙΑ 23 Δεκ 2025 | 07:46

Βρετανία: Αυτός είναι ο άνδρας που νάρκωνε και βίαζε τη σύζυγό του με άλλους 5 άνδρες για 13 χρόνια [εικόνες]

Ο 49χρονος κατηγορείται για 56 αδικήματα - Η υπόθεση φέρνει μνήμες από τη Γαλλία και τον πρώην σύζυγο της Ζιζέλ Πελικό.

ΦΡΙΚΗ ΚΑΙ ΑΠΟΤΡΟΠΙΑΣΜΟΣ 22 Δεκ 2025 | 20:55

Νέα υπόθεση "Πελικό" σοκάρει τη Βρετανία: 49χρονος νάρκωνε και βίαζε τη σύζυγό του μπροστά σε άλλους για 13 χρόνια

Ο Φίλιπ Γιανγκ, που ζει στο Ένφιλντ, κατηγορείται για 56 σεξουαλικά αδικήματα, μεταξύ των οποίων βιασμός και χορήγηση ουσιών για να ναρκώνει το θύμα του

ΠΡΩΤΟΦΑΝΕΣ 21 Δεκ 2025 | 17:01

Αδιανόητη απάτη σε βάρος παιδιών με καρκίνο: Άρπαξαν 4 εκατ. ευρώ από χρήματα για δωρεές - Ερευνα του BBC

Οι επιτήδειοι εντόπιζαν παιδιά με καρκίνο από 3 έως 9 ετών, προσέγγιζαν τις οικογένειες τους, έστηναν απάτες και θησαύριζαν.

Η ΔΗΛΩΣΗ ΤΟΥ 21 Δεκ 2025 | 10:11

Βαρύ πένθος για τον Τζορτζ Κλούνεϊ: Πέθανε η αδελφή του από καρκίνο - "Ηταν η ηρωίδα μου"

Βαρύ πένθος βιώνει ο Τζορτζ Κλούνεϊ, καθώς έφυγε από τη ζωή η μεγαλύτερη αδελφή του.

ΝΕΑ ΜΕΛΕΤΗ 20 Δεκ 2025 | 08:14

Πως το mRNA κατάφερε να ανανεώσει το γερασμένο ανοσοποιητικό και να γυρίσει πίσω το "ρολόι" των ανοσοκυττάρων

"Κοκτέιλ" τριών αγγελιοφόρων RNA, το οποίο χορηγήθηκε δύο φορές την εβδομάδα, μπόρεσε να ανανεώσει το γερασμένο ανοσοποιητικό σύστημα

ΣΤΟΝ ΔΡΟΜΟ ΓΙΑ ΤΗΝ «ΕΛΠΙΔΑ» 19 Δεκ 2025 | 16:53

Η ιστορία του εννιάχρονου Κωνσταντίνου που διεγνώσθη με σπάνιας μορφής καρκίνο - O μακρύς και επίπονος αγώνας

Πριν από μερικούς μήνες διαγνώστηκε με ένα σπάνιο και επιθετικό καρκίνο των μαλακών ιστών.

ΠΟΙΟΣ ΗΤΑΝ 18 Δεκ 2025 | 18:07

Πέθανε ο σχεδιαστής μόδας Άντονι Πράις - Είχε ντύσει Ντέιβιντ Μπόουι και Μικ Τζάγκερ

Πρόσφατα, έγινε ένας από τους επίσημους σχεδιαστές της βασίλισσας Καμίλα

ΠΕΝΘΟΣ ΣΤΗΝ ΤΟΠΙΚΗ ΑΥΤΟΔΙΟΙΚΗΣΗ 18 Δεκ 2025 | 17:38

Εύβοια: Πέθανε ο δήμαρχος Διρφύων - Μεσσαπίων Γιώργος Ψαθάς μετά από μάχη με τον καρκίνο

Παρότι ο δήμαρχος αντιμετώπιζε το τελευταίο διάστημα σοβαρά προβλήματα υγείας, δεν άφησε τα καθήκοντά του

ΣΥΓΚΙΝΗΣΗ 17 Δεκ 2025 | 22:53

Σοκ: Με μια μαχαιριά δολοφονήθηκε η 9χρονη στη νότια Αγγλία - Δίωξη για ανθρωποκτονία σε 15χρονο

Ο 15χρονος βρέθηκε πολύ γρήγορα από τις Αρχές, ενώ το πρωί της Τετάρτης 17/12 του απαγγέλθηκαν κατηγορίες για αρπαγή ανηλίκου και ανθρωποκτονία

ΠΟΙΟΣ ΕΙΝΑΙ 17 Δεκ 2025 | 19:38

Κατηγορίες για απόπειρα στραγγαλισμού σε βάρος του Δούκα του Μάρλμπορο: Μακρινός συγγενής της Νταϊάνα και του Τσόρτσιλ

Ο Δούκας του Μάρλμπορο που φέρει έναν τίτλο μέσω του οποίου συνδέεται με τον Τσόρτσιλ αλλά και την Νταϊάνα, κατηγορείται για σοβαρά αδικήματα.

ΤΗΝ ΗΞΕΡΑΝ ΟΛΟΙ 16 Δεκ 2025 | 18:19

Σε σοκ κωμόπολη στην Αγγλία: Σκότωσαν εννιάχρονη σε σπίτι της περιοχής - Έχει συλληφθεί ένας έφηβος

H 9χρονη πήγε στο σχολείο, στο μάθημα χορού, και μετά πήρε τον δρόμο για το σπίτι - Βρέθηκε νεκρή λίγο μετά τις 6μμ - Έχει συλληφθεί ένας έφηβος

ΓΙΑ ΤΗ ΝΕΑ ΓΑΛΛΙΚΗ ΕΚΔΟΣΗ 16 Δεκ 2025 | 15:24

Συγκλονιστικό εξώφυλλο του Time με την Αντζελίνα Τζολί: Δέκα χρόνια μετά τη μαστεκτομή δείχνει τις ουλές της

Η Αντζελίνα Τζολί αποφάσισε να φωτογραφηθεί αποκαλύπτοντας δημόσια την ουλή από την προληπτική μαστεκτομή στην οποία είχε υποβληθεί το 2013.

ΡΙΤΣΑΡΝΤ ΝΑΙΤΟΝ 16 Δεκ 2025 | 14:09

Προειδοποίηση του Βρετανού αρχηγού Ενόπλων Δυνάμεων: Οι πολίτες πρέπει να είναι έτοιμοι να πολεμήσουν με τη Ρωσία

Δεν είναι μακριά το ενδεχόμενο ρωσικής εισβολής κατά τον Βρετανό Πτέραρχο.

ΣΤΗΝ ΠΡΩΤΗ ΤΗΣ ΜΕΓΑΛΗ ΟΜΙΛΙΑ 15 Δεκ 2025 | 17:54

Βρετανία: Η νέα αρχηγός της υπηρεσίας πληροφοριών ΜΙ6 προειδοποιεί για "αυξανόμενη ρωσική απειλή"

Σύμφωνα με την Μπλέιζ Μετρεουέλι, η απειλή της Ρωσίας βασίζεται στην "επιθετικότητα, στον επεκτατισμό και τον αναθεωρητισμό"

ΠΛΗΜΜΥΡΙΔΑ ΑΓΑΠΗΣ 13 Δεκ 2025 | 19:10

Καρκινοπαθής με λίγους μήνες ζωής ζήτησε για τα Χριστούγεννα λίγη από την καλοσύνη των ξένων: Αυτό που έλαβε, λιώνει καρδιές

"Αν η αγάπη μπορούσε να θεραπεύσει τον καρκίνο, θα είχα θεραπευτεί" λέει η Βρετανίδα καρκινοπαθής - Ζήτησε κάρτες με ευχές και έλαβε το θαύμα των Χριστουγέννων.

ΜΠΡΙΕΛ «ΜΠΡΙ» ΜΠΕΡΝΤ 13 Δεκ 2025 | 12:42

Έφυγε από τη ζωή σε ηλικία 9 ετών η μικρή influencer Μπρι Μπερντ, μετά από μάχη με τον καρκίνο [εικόνες - βίντεο]

Η μικρή influencer έπασχε από υποτροπιάζουσα μορφή νευροβλαστώματος σταδίου 4, με το οποίο ζούσε τα τελευταία πέντε χρόνια.

ΑΠΟΣΥΡΘΗΚΕ ΤΟ 2014 12 Δεκ 2025 | 23:47

Σοκ στο ΝΒΑ: Ο Τζέισον Κόλινς διαγνώστηκε με επιθετική μορφή καρκίνου

Ο Τζέισον Κόλινς είναι ο πρώτος επαγγελματίας μπασκετμπολίστας ο οποίος μίλησε ανοιχτά για τον σεξουαλικό του προσανατολισμό, ανοίγοντας τον δρόμο και σε άλλους αθλητές

ΣΕ ΜΑΓΝΗΤΟΣΚΟΠΗΜΕΝΟ ΒΙΝΤΕΟ 12 Δεκ 2025 | 22:29

Ο Κάρολος μίλησε για πρώτη φορά για τον καρκίνο του: "Η θεραπεία μου θα μειωθεί από το νέο έτος"

Το μήνυμα μεταδόθηκε από ζωντανή εκπομπή από την ογκολογική κλινική του νοσοκομείου Addenbrooke’s στο Κέμπριτζ

ΘΛΙΨΗ 12 Δεκ 2025 | 21:56

Σοκ με την υπόθεση του Δανού δότη σπέρματος: Ένα παιδί 5-10 χρονών έχει ήδη πεθάνει από καρκίνο

Το σπέρμα του Δανού δότη διακινήθηκε από την Ευρωπαϊκή Τράπεζα Σπέρματος επί 17 χρόνια σε 14 χώρες στην Ευρώπη

ΤΙ ΠΡΟΚΑΛΕΙ 12 Δεκ 2025 | 06:05

Τι είναι το καρκινογόνο γονίδιο TP53 του δότη σπέρματος - Εχουν γεννηθεί 18 παιδιά σε 11 οικογένειες στην Ελλάδα

Όταν το γονίδιο TP53 υποστεί μετάλλαξη, η προστατευτική του λειτουργία χάνεται, με αποτέλεσμα τα κύτταρα να πολλαπλασιάζονται ανεξέλεγκτα.

ΚΥΠΡΟΣ 11 Δεκ 2025 | 18:56

Πέθανε ο σκηνοθέτης Μιχάλης Ιγνατίου σε ηλικία 50 ετών

Ο σκηνοθέτης έδινε τους τελευταίους μήνες σκληρή μάχη με τον καρκίνο

ΕΡΩΤΑΣ ΤΑ ΧΡΙΣΤΟΥΓΕΝΝΑ 11 Δεκ 2025 | 18:11

Αυτή είναι η πιο συγκινητική χριστουγενιάτικη διαφήμιση: Η Κίρα Νάιτλι ερωτεύεται και κάνει τους Βρετανούς να λιώσουν

Βρετανική αλυσίδα σούπερ μάρκετ αποτίει φόρο τιμής στις ρομαντικές κωμωδίες με μια τετράλεπτη ταινία - Η Κίρα Νάιτλι ερωτεύεται με αφορμή ένα κομμάτι ...τυρί

ΠΑΝΙΚΟΣ ΣΤΗΝ ΕΥΡΩΠΗ 11 Δεκ 2025 | 17:09

Υπεργρίπη: Γεμίζουν τα νοσοκομεία στη Βρετανία - Αύξηση των κρουσμάτων κατά 55% σε μία εβδομάδα

"Ανευ προηγουμένου κύμα υπεργρίπης" λέει Εθνική Υπηρεσία Υγείας της Αγγλίας

ΝΕΑ ΣΤΟΙΧΕΙΑ ΣΤΟ ΦΩΣ 11 Δεκ 2025 | 11:34

18 παιδιά σε 11 οικογένειες στην Ελλάδα με το καρκινογόνο γονίδιο του δότη σπέρματος - Το 2017 η τελευταία χρήση του

Στην Ελλάδα έχουν γεννηθεί 18 παιδιά σε 11 οικογένειες με σπέρμα δότη από την Δανία που ήταν εν αγνοία του φορέας γενετικής μετάλλαξης που αυξάνει τον κίνδυνο καρκίνου.

ΤΙ ΛΕΝΕ ΟΙ ΑΡΜΟΔΙΟΙ 11 Δεκ 2025 | 09:37

18 παιδιά έχουν γεννηθεί στην Ελλάδα από το σπέρμα δότη με καρκινογόνο γονίδιο - 7 οι κλινικές - Οι επίσημες οδηγίες

Στην Ελλάδα με γεννητικό υλικό του εν λόγω δότη έχουν γεννηθεί 18 παιδιά - Η ανακοίνωση της Εθνικής Αρχής Ιατρικώς Υποβοηθούμενης Αναπαραγωγής.

ΑΠΟΓΕΙΩΣΕ ΤΟ ROM-COM 10 Δεκ 2025 | 15:44

Θλίψη για τη Βρετανίδα συγγραφέα Σόφι Κινσέλα: Πέθανε σε ηλικία 55 ετών από καρκίνο του εγκεφάλου

Η οικονομική ρεπόρτερ που στα 24 της έγραψε το πρώτο της μυθιστόρημα και έγινε η βασίλισσα του rom-com με εκατομμύρια πωλήσεις - Πέθανε από καρκίνο

ΔΕΝ ΠΑΡΑΔΕΧΘΗΚΕ ΠΟΤΕ 10 Δεκ 2025 | 14:47

"Stakenife": Ποιος ήταν ο διπλός πράκτορας των Άγγλων στον IRA, διαβόητος για τις σαδιστικές δολοφονίες του

Για τις βρετανικές μυστικές υπηρεσίες ήταν "η κότα που έκανε τα χρυσά αυγά" - Έρευνα 9 ετών αποκαλύπτει ποιος ήταν ο διπλός πράκτορας Stakeknife

ΕΧΟΥΝ ΚΑΤΑΓΡΑΦΕΙ ΘΑΝΑΤΟΙ 10 Δεκ 2025 | 12:12

Σάλος με δωρητή σπέρματος - Μετέδωσε γονίδιο καρκίνου σε τουλάχιστον 197 παιδιά σε Ελλάδα και Ευρώπη

Σπέρμα δότη που φέρει γενετική μετάλλαξη η οποία προκαλεί καρκίνο χρησιμοποιούνταν επί 17 χρόνια σε 14 χώρες στην Ευρώπη - Έχει χρησιμοποιηθεί και στην Ελλάδα.

ΕΞΟΜΟΛΟΓΗΣΗ 09 Δεκ 2025 | 16:53

Ρούλα Κουσκουρή: "Σαν σήμερα, πριν τέσσερα χρόνια, χειρουργήθηκα για τον καρκίνο" - Η συγκινητική ιστορία

Στη σοβαρή περιπέτεια υγείας με τον καρκίνο και τη συμπλήρωση τεσσάρων ετών από το χειρουργείο μίλησε η δημοσιογράφος

ΕΝΑ ΑΠΟ ΤΑ ΘΥΜΑΤΑ 08 Δεκ 2025 | 16:26

Ογκολόγος έδινε ματζούνια σε καρκινοπαθείς: "Εξακολουθεί να πουλάει σκευάσματα" λέει μάνα ασθενούς που πέθανε

"Έβγαλε τρελό γιατρό που της είπε ότι είναι γεμάτη μεταστάσεις" -Tι λένε οι γονείς της καρκινοπαθούς που πέθανε από ματζούνια που της έδινε ογκολόγος

ΣΤΟ ΣΑΝΤΡΙΝΓΧΑΜ 08 Δεκ 2025 | 08:56

Βασίλισσα Ελισάβετ: Η ιστορική πρώτη χριστουγεννιάτικη ομιλία της το 1952 - Γιατί είχε ιδιαίτερο βάρος

Στις 25 Δεκεμβρίου 1952, η Ελισάβετ Β' απηύθυνε το πρώτο της χριστουγεννιάτικο μήνυμα. Η ομιλία ήταν αποκλειστικά ραδιοφωνική.

ΑΝΑΡΤΗΣΗ 08 Δεκ 2025 | 07:27

Συγκινεί η εξομολόγηση της ψυχολόγου Αννας Κανδαράκη: "Πάλεψα για δεύτερη φορά με τον καρκίνο" [βίντεο]

Είναι το τέλος μιας πολύ δύσκολης περιόδου, λέει στο βίντεο που ανέβασε η Αννα Κανδαράκη και εξηγεί ότι η νόσος εμφανίστηκε ξανά εννιά χρόνια από την πρώτη εμφάνιση.

ΤΟ ΜΗΝΥΜΑ ΚΑΙ Η ΠΡΟΤΡΟΠΗ 07 Δεκ 2025 | 12:12

Αλέξης Παπαχελάς: Η αποκάλυψη για τον καρκίνο του προστάτη - "Η ενημέρωση αντίδοτο στον φόβο"

Στο άρθρό του ο Αλέξης Παπαχελάς αναφέρει ότι νοσεί με καρκίνο του προστάτη και μιλά για όλα τα συναισθήματα που ακολουθούν της διάγνωσης.

4 ΣΥΛΛΗΨΕΙΣ 06 Δεκ 2025 | 23:39

Σάλος στη Βρετανία: Ακτιβιστές πέταξαν κρέμα και... μηλόπιτα στο Αυτοκρατορικό Στέμμα του Κράτους [βίντεο]

Την ευθύνη ανέλαβε η ομάδα "Take Back Power", η οποία αυτοπροσδιορίζεται ως μια "νέα μη βίαιη ομάδα πολιτικής ανυπακοής"

ΤΙ ΠΡΕΠΕΙ ΝΑ ΞΕΡΟΥΜΕ 06 Δεκ 2025 | 08:25

Καρκίνοι του γαστρεντερικού: Τα ύποπτα συμπτώματα, οι αιτίες και πώς θα μειώσουμε τον κίνδυνο

Η αύξηση των καρκίνων του γαστρεντερικού συστήματος σε νεότερους ανθρώπους δεν εξηγείται πλέον μόνο από την κακή διατροφή και τον καθιστικό τρόπο ζωής

ΙΔΙΑΙΤΕΡΗΣ ΣΗΜΑΣΙΑΣ ΕΚΔΗΛΩΣΗ 05 Δεκ 2025 | 22:57

"Μαζί τα Χριστούγεννα": Με οικοδέσποινα την πριγκίπισσα Κέιτ η εορταστική εκδήλωση στο Ουέστμινστερ [εικόνες]

Η εκδήλωση δίνει στη βασιλική οικογένεια τη δυνατότητα να ευχαριστήσει πολίτες που προσφέρουν εθελοντικό έργο σε ολόκληρη τη Βρετανία

ΟΙ ΜΟΡΦΑΣΜΟΙ ΠΟΥ ΤΟΝ "ΠΡΟΔΩΣΑΝ" 04 Δεκ 2025 | 18:24

Η μεγάλη χαρά του Κιρ Στάρμερ όταν είδε να κάθεται δίπλα του σε επίσημο δείπνο η Κλόντια Σίφερ [βίντεο]

Πώς αντέδρασε ο Στάρμερ όταν είδε τη Σίφερ να κάθεται δίπλα του στο δείπνο που παρέθεσε η βασιλική οικογένεια

ΟΡΓΗ ΚΑΙ ΔΑΚΡΥΑ ΣΤΟ ΔΙΚΑΣΤΗΡΙΟ 03 Δεκ 2025 | 16:36

Παιδόφιλος βρεφονηπιοκόμος στη Βρετανία: Κακοποιούσε σεξουαλικά νήπια ακόμη και δύο ετών

Ο άνδρας εκμεταλλευόταν τα παιδιά την ώρα που κοιμόντουσαν και κατέγραφε τις αρρωστημένες πράξεις του σε τάμπλετ του σχολείου.

ΠΛΗΓΜΑ ΣΤΙΣ ΣΧΕΣΕΙΣ ΤΩΝ ΔΥΟ ΠΛΕΥΡΩΝ 28 Νοε 2025 | 19:10

ΕΕ: Κατέρευσαν οι συνομιλίες για την ένταξη της Βρετανίας στο πρόγραμμα SAFE

Η Βρετανία δήλωσε ότι δεν είναι δυνατό να επιτευχθεί συμφωνία - Η Ευρωπαϊκή Ένωση τόνισε πως θα μπορούσε να συμμετάσχει μέχρι το όριο του 35%

ΜΗΝΥΜΑ ΠΡΟΤΡΟΠΗΣ ΓΙΑ ΕΛΕΓΧΟ 24 Νοε 2025 | 00:15

Ντέιβιντ Κάμερον: Ο πρώην πρωθυπουργός της Βρετανίας παλεύει με τον καρκίνο του προστάτη - Πώς το αντιμετωπίζει

Τον πίεσε η σύζυγός του να πάει για εξετάσεις νωρίτερα από το προβλεπόμενο - Αποδείχθηκε ότι είχε προσβληθεί από καρκίνο του προστάτη.

ΛΕΠΤΗ ΓΡΑΜΜΗ ΜΕΤΑΞΥ ΕΥΤΥΧΙΑΣ ΚΑΙ ΘΑΝΑΤΟΥ 22 Νοε 2025 | 23:04

Τατιάνα Σλόσμπεργκ: Η εγγονή του JFK δίνει μάχη με τη λευχαιμία - Η μαρτυρία της καθηλώνει και αφυπνίζει

Η εγγονή του θρυλικού 35ου προέδρου των ΗΠΑ, του JFK, δίνει μάχη με τη λευχαιμία - Είναι 35 ετών, έχει δύο παιδιά και ο καρκίνος της βρίσκεται σε τελικό στάδιο.

Ο ΧΡΟΝΟΣ ΜΕΤΡΑ ΑΝΤΙΣΤΡΟΦΑ 22 Νοε 2025 | 19:59

Ραγδαίες εξελίξεις για την Ουκρανία: Ξεκινούν οι συνομιλίες στη Γενεύη - Ο Τραμπ λέει ότι αυτό δεν είναι το τελικό σχέδιο

Αύριο, Κυριακή, 23/11, στη Γενεύη πέφτει στο τραπέζι το σχέδιο του Τραμπ για ειρηνευτική συμφωνία που θα φέρει το τέλος του πολέμου στην Ουκρανία.

ΠΟΛΕΜΟΣ ΟΥΚΡΑΝΙΑ 21 Νοε 2025 | 11:30

Βρετανία: Δίκτυα ξεπλύματος χρήματος οδηγούν από τη Βρετανία στη Ρωσία

Με την κωδική ονομασία "Επιχείρηση Αποσταθεροποίηση", η Υπηρεσία επισήμανε την έκταση των δικτύων που εξάρθρωσ

ΑΝΑΛΥΣΗ ΜΕΛΕΤΗΣ ΑΠΟ ΕΚΠΑ 20 Νοε 2025 | 09:22

Γιατί αυξάνονται όλο και περισσότερο οι καρκίνοι στους νέους 20-49 ετών - Οι σοβαροί παράγοντες που επηρεάζουν

Ανησυχία στην επιστημονική κοινότητα από την αυξανόμενη εμφάνιση καρκίνων σε ηλικίες που μέχρι πρόσφατα θεωρούνταν πολύ νέες για τέτοιες διαγνώσεις.

ΑΜΕΣΗ ΑΝΤΙΔΡΑΣΗ ΤΟΥ ΣΧΟΛΕΙΟΥ 19 Νοε 2025 | 18:08

Αποκαλύφθηκε τι οδήγησε τον καθηγητή στο ελίτ σχολείο της Κέιτ στην αυτοκτονία: Ένα ομοφοβικό αστείο

Ένα αστείο που θεωρήθηκε ομοφοβικό αποτέλεσε την αρχή του τέλους για καθηγητή σε ελίτ σχολείο της Βρετανίας.

ΑΝΗΣΥΧΙΑ 19 Νοε 2025 | 16:04

Συναγερμός για ύποπτο ρωσικό πλοίο που κινείται στο όριο των βρετανικών χωρικών υδάτων: "Είναι κατασκοπευτικό"

Ανησυχία στο βρετανικό υπουργείο Άμυνας από την παρουσία ρωσικού πλοίου στα όρια των χωρικών τους υδάτων

ΝΙΚΗΤΡΙΑ ΣΤΗ ΜΑΧΗ ΤΗΣ ΜΕ ΤΟΝ ΚΑΡΚΙΝΟ 18 Νοε 2025 | 11:38

Η Κιμ Κίλιαν στο fashion show του Βασίλη Ζούλια - Χαμογελαστή μετά την περιπέτεια υγείας της

Κομψή και χαμογελαστή η Κιμ Κίλιαν στην επίδειξη μόδας του Βασίλη Ζούλια στη Γλυφάδα

ΤΟΥ HARVARD 18 Νοε 2025 | 09:29

Πώς θα μειώσουμε τις πιθανότητες εμφάνισης καρκίνου - Επιστήμονας λέει να "κόψουμε" 5 πράγματα

"Σχεδόν οι μισές περιπτώσεις καρκίνου μπορούν να προληφθούν", τονίζει η γαστρεντερολόγος και ερευνήτρια στο Beth Israel Deaconess Medical Center (BIDMC) της Βοστώνης.

ΝΕΑ ΑΠΟΛΟΓΙΑ 17 Νοε 2025 | 22:24

Το BBC ζήτησε συγγνώμη για την "γκάφα-ντροπή" με την Κέιτ: Το λάθος που εξόργισε τους Βρετανούς

Το ειδησεογραφικό δίκτυο αναγκάστηκε να απολογηθεί στην πριγκίπισσα της Ουαλίας μετά το "ατόπημα" που εξόργισε πολλούς Βρετανούς

Η ΑΝΑΡΤΗΣΗ 17 Νοε 2025 | 20:07

Εβελίνα Σκίτσκο: Το μοντέλο του GNTM ξεπέρασε τον καρκίνο και έστειλε συγκινητικό μήνυμα

"Θεωρούσα πως είναι αδυναμία και ντροπή", έγραψε η Εβελίνα Σκίτσκο και έστειλε το μήνυμα: "Μπορείς να πέσεις… αλλά να ξανασηκωθείς!"

ΝΟΜΟΣ ΣΙΩΠΗΣ 17 Νοε 2025 | 15:00

Σκάνδαλο στο ελίτ σχολείο της Κέιτ: Απέλυσαν καθηγητή λόγω ανάρμοστης συμπεριφοράς και αυτοκτόνησε

Σκάνδαλο που θέλει να αποφύγει πάση θυσία το σχολείο της Κέιτ - Φαίνεται ότι είναι η επιλογή για να φοιτήσει ο πρίγκιπας Τζορτζ και τα αδέλφια του

ΟΤΑΝ ΑΠΟΦΑΣΙΣΑΝ ΝΑ "ΑΠΟΚΑΛΥΦΘΟΥΝ" 16 Νοε 2025 | 21:57

Πρίγκιπας Γουίλιαμ - Κέιτ Μίντλετον: Το διακριτικό ζευγάρι που τήρησε τα πρωτόκολλα, αλλά πέταξε "ό,τι δεν χρειαζόμαστε πια"

Πώς πρίγκιπας Γουίλιαμ και Κέιτ Μίντλετον άλλαξαν το στάτους της ιδιωτικότητάς τους και η προσέγγιση που ακολουθούν πλέον στη ζωή τους

ΓΙΑΤΙ ΜΟΙΡΑΖΕΤΑΙ ΤΗΝ ΙΣΤΟΡΙΑ ΤΟΥ 16 Νοε 2025 | 12:24

Ο γιατρός του Grey’s Anatomy πάσχει από καρκίνο - Ο Τζέιμς Πίκενς μιλάει για τη διάγνωση και τη θεραπεία του

Ο Τζέιμς Πίκενς Τζούνιορ μας μιλάει για τη διάγνωση και τη θεραπεία του καρκίνου του προστάτη, καθώς και γιατί η έγκαιρη διάγνωση είναι κρίσιμη.

ΑΥΞΑΝΟΝΤΑΙ ΟΙ ΕΞΑΠΑΤΗΣΕΙΣ ΠΙΣΤΩΝ 15 Νοε 2025 | 21:48

Νέα καταγγελία για δήθεν ιερέα: Του υποσχέθηκε ότι θα σώσει τον αδερφό του από τον καρκίνο

"Προσεύχονταν πάνω στο παιδί πάνω στο παιδί, έλεγαν ότι έχει έναν δαίμονα", κατήγγειλε το θύμα του δήθεν ιερέα

ΕΛΠΙΔΟΦΟΡΑ ΕΡΕΥΝΑ 15 Νοε 2025 | 08:06

Φάρμακα για την παχυσαρκία: Ποια η σχέση τους με τον καρκίνο του παχέος εντέρου

Τα αποτελέσματα της έρευνας δείχνουν έναν ισχυρό συσχετισμό, που αξίζει να διερευνηθεί περαιτέρω

ΠΟΙΟΣ ΠΛΗΡΩΝΕΙ 14 Νοε 2025 | 19:00

Ανάλυση Politico: Μπορεί πραγματικά ο Ντόναλντ Τραμπ να κερδίσει την αγωγή ενός δισ. εναντίον του BBC;

Πόσο πραγματική είναι η απειλή του Αμερικανού προέδρου και πόσες πιθανότητες έχει να δικαιωθεί σε ένα δικαστήριο - Γιατί μπορεί να προσφύγει μόνο στις ΗΠΑ

ΤΑ ΣΤΟΙΧΕΙΑ 14 Νοε 2025 | 14:23

Βρετανία: Οργή για τον θάνατο 10χρονης - H Σάρα δεν γλίτωσε από τον πατέρα της παρά τις αμέτρητες καταγγελίες

Το κοριτσάκι ήταν θύμα συστηματικής ενδοοικογενειακής βίας, τα σημάδια της οποίας έκρυβε κάτω από τη χιτζάμπ που φορούσε

ΤΙ ΕΔΕΙΞΕ ΕΡΕΥΝΑ 13 Νοε 2025 | 15:22

Μεταρρυθμίσεις υπόσχεται ο βρετανικός στρατός για τα υψηλά ποσοστά σεξουαλικής παρενόχλησης

Το υπουργείο Άμυνας ανακοίνωσε ότι θα αναπτύξει ομάδες πρόληψης με ειδικούς σε εκπαιδευτικές βάσεις στη βόρεια και τη νοτιοδυτική Αγγλία.

ΤΙ ΛΕΕΙ ΟΓΚΟΛΟΓΟΣ 13 Νοε 2025 | 06:27

Καρκίνος: Τα τέσσερα απρόσμενα συμπτώματα που πρέπει να γνωρίζουμε

Τα συμπτώματα μπορεί να υποδηλώνουν καρκίνο του μαστού, του προστάτη, του παχέος εντέρου ή του ορθού, ή των πνευμόνων.

"ΓΙ' ΑΥΤΟ ΚΑΝΩ ΑΥΤΟ ΤΟ ΒΙΝΤΕΟ" 12 Νοε 2025 | 21:55

Ευρυδίκη Παπαδοπούλου: "Έφτασα στο τρίτο στάδιο καρκίνου γιατί αγνόησα τα συμπτώματα" - H μάχη με το λέμφωμα Hodgkin

Η Ευρυδίκη Παπαδοπούλου προχώρησε σε μια συγκλονιστική εξομολόγηση, μέσω βίντεο στον λογαριασμό της στο TikTok

ΕΞΑΛΛΟΣ 10 Νοε 2025 | 18:16

Ο Τραμπ απειλεί τώρα να μηνύσει το BBC απαιτώντας 1 δισ. δολάρια - Τα τρία αιτήματα του προέδρου των ΗΠΑ

Ο Ντόναλντ Τραμπ δεν δέχεται τη συγγνώμη του BBC και θέτει τρεις απαιτήσεις

ΜΑΘΗΜΑ ΑΝΘΡΩΠΙΑΣ 10 Νοε 2025 | 17:53

Οι φίλοι της ΑΕΚ τίμησαν την βολεϊμπολίστρια του Παναθηναϊκού, Πέννυ Ρόγκα που νίκησε τον καρκίνο [βίντεο]

Αντιπροσωπεία των οπαδών έδωσε στην Ρόγκα μια ανθοδέσμη με την ίδια να μην σταματά να χαμογελά

ΤΙ ΦΟΡΕΣΕ 09 Νοε 2025 | 19:24

"Πρόβα" βασίλισσας για την Κέιτ Μίντλετον: Οι back-to-back κομψές εμφανίσεις της - Φόρος τιμής σε Ελισάβετ και Νταϊάνα [εικόνες]

Η πριγκίπισσα Κέιτ πραγματοποίησε δύο πολύ σοβαρές εμφανίσεις, εντυπωσιάζοντας με την κομψότητα και το εκτόπισμά της - Τα δύο ζευγάρια σκουλαρίκια και η συμβολικότητά τους

ΤΙ ΕΔΕΙΞΑΝ ΤΑ ΠΕΙΡΑΜΑΤΑ ΣΕ ΠΟΝΤΙΚΙΑ 08 Νοε 2025 | 08:14

Προχωρά η έρευνα: Τι ανακάλυψαν οι επιστήμονες για τον καρκίνο του παγκρέατος που "ξεγελά" το ανοσοποιητικό μας

Ο καρκίνος του παγκρέατος έχει εξαιρετική ικανότητα να κρύβεται από το ανοσοποιητικό σύστημα, ωστόσο οι επιστήμονες πλησίασαν στη λύση

DAILY TELEGRAPH 06 Νοε 2025 | 20:20

Βρετανία: "Χιλιομετρικό φόρο" στα ηλεκτρικά αυτοκίνητα μελετά η κυβέρνηση, για να αυξήσει τα έσοδα

Η Ισλανδία και η Νέα Ζηλανδία έχουν ήδη εφαρμόσει έναν "χιλιομετρικό φόρο" για τα ηλεκτρικά αυτοκίνητα.

ΒΡΕΤΑΝΙΑ 06 Νοε 2025 | 19:13

Επίσημα τέλος ο τίτλος "πρίγκιπας" για τον Άντριου Μάουντμπάντεν Ουίνδσορ - Επικύρωση από τον βασιλιά Κάρολο

Αν και η σχετική ανακοίνωση από το Παλάτι είχε γίνει την προηγούμενη εβδομάδα, η απόφαση δημοσιεύτηκε επισήμως με βασιλικό διάταγμα που φέρει τη "Μεγάλη Σφραγίδα του Βασιλείου".

ΠΟΙΟΣ ΕΙΝΑΙ 03 Νοε 2025 | 17:54

Βρετανία: Αυτός είναι ο 32χρονος δράστης της επίθεσης με μαχαίρι στο τρένο - "Ο Διάβολος δεν θα νικήσει" φώναζε

Ο Άντονι Γουίλιαμς, 32 ετών, από το Πίτερμπορο, εμφανίστηκε σήμερα στο Δικαστήριο της πόλης, κατηγορούμενος για 11 απόπειρες ανθρωποκτονίας

ΤΟ ΣΑΒΒΑΤΟ 02 Νοε 2025 | 13:17

Βρετανία: Δύο θύματα δίνουν μάχη για τη ζωή τους μετά την επίθεση σε τρένο – "Καμία ένδειξη τρομοκρατίας"

Από τους εννέα επιβάτες που τραυματίστηκαν σοβαρά, τέσσερις έχουν πάρει εξιτήριο, ενώ δύο εξακολουθούν να νοσηλεύονται σε κρίσιμη κατάσταση.

02 Νοε 2025 | 08:20

Βρετανία: Επίθεση με μαχαίρι μέσα σε τρένο– Δέκα τραυματίες, οι εννέα σε κρίσιμη κατάσταση [βίντεο]

Η αστυνομία ενημερώθηκε γύρω στις 19:39 για επίθεση με μαχαίρι μέσα σε τρένο, το οποίο ακινητοποιήθηκε στον σιδηροδρομικό σταθμό του Χάντινγκτον, περίπου 120 χιλιόμετρα βόρεια του Λονδίνου.

ΑΣΤΥΝΟΜΙΚΗ ΕΠΙΧΕΙΡΗΣΗ 01 Νοε 2025 | 23:41

Συναγερμός στην Αγγλία για επίθεση με μαχαίρι σε τρένο - Πολλοί τραυματίες [βίντεο]

Η αστυνομία μεταφορών ανακοίνωσε ότι ανταποκρίθηκε σε αναφορές για πολλαπλές επιθέσεις με μαχαίρι σε τρένο με κατεύθυνση το Χάντινγκτον

ΤΙ ΘΑ ΛΑΒΕΙ 01 Νοε 2025 | 18:01

"Χρυσό αλεξίπτωτο" για τον Άντριου: Εφάπαξ και… χαρτζιλίκι μετά την καρατόμηση - Εξαψήφιο το ποσό

Μεγάλη οικονομική αποζημίωση και ετήσιο επίδομα για τον Άντριου μετά την αφαίρεση τίτλων από τον βασιλιά Κάρολο

ΕΚΠΤΩΤΟΣ 31 Οκτ 2025 | 20:48

Σάλος με νέες αποκαλύψεις για τον τέως πρίγκιπα Άντριου: "Έφερε 40 ιερόδουλες στο ξενοδοχείο του στην Ταϊλάνδη"

Αποκαλύψεις από τον ιστορικό Άντριου Λάουνι στη βιογραφία με τίτλο "The Rise and Fall of the House of York", η οποία καταγράφει τη θεαματική πτώση του Άντριου

ΤΙ ΤΟΥ ΔΙΝΕΙ Ο ΚΑΡΟΛΟΣ 31 Οκτ 2025 | 11:11

Η εξήγηση μιας αποκαθήλωσης: Πώς ο Άντριου Μαουντμπάτεν Ουίνδσορ έγινε από πρίγκιπας "κοινός θνητός"

Ο βασιλιάς Κάρολος έκανε μία ξεκάθαρη κίνηση για να διώξει τη ντροπή από τη βασιλική οικογένεια ενώ εκφράστηκε με ενσυναίσθηση για τα θύματα κάθε μορφής κακοποίησης.

ΛΟΓΩ ΤΟΥ ΣΚΑΝΔΑΛΟΥ ΕΠΣΤΑΙΝ 30 Οκτ 2025 | 21:24

Οριστικό: Ο Άντριου χάνει τον τίτλο του πρίγκιπα μετά το σκάνδαλο Επστάιν - Πρέπει να εγκαταλείψει την κατοικία του στο Ουίνδσορ

"Ο πρίγκιπας Άντριου θα είναι πλέον γνωστός ως Άντριου Μαουντμπάτεν Ουίνδσορ", σημειώνει το Παλάτι του Μπάκιγχαμ

ΣΕΡΒΟΣ 30 Οκτ 2025 | 20:25

Σοκ στο ΝΒΑ: Διαγνώστηκε με καρκίνο των γεννητικών οργάνων ο 20χρονος Νίκολα Τόπιτς - Ξεκίνησε χημειοθεραπείες

Ο γκαρντ των Οκλαχόμα Σίτι Θάντερ, Νίκολα Τόπιτς, υποβλήθηκε στις αρχές Οκτωβρίου σε βιοψία στο αντικαρκινικό κέντρο MD Anderson στο Χιούστον

ΤΙ ΕΙΝΑΙ ΤΟ ΧΟΛΑΓΓΕΙΟΚΑΡΚΙΝΩΜΑ 30 Οκτ 2025 | 17:58

Σπαραγμός στο TikTok για 29χρονη infuencer: Πέθανε από σπάνιο καρκίνο - Το συγκινητικό ημερολόγιο σε βίντεο

Μία νέα γυναίκα πέθανε από καρκίνο - Από τη διάγνωση μέχρι το τέλος, κατέγραφε μέσω βίντεο τη μάχη της για να κρατηθεί στη ζωή σε ένα συγκινητικό ημερολόγιο της νόσου

ΠΡΟΦΥΛΑΚΙΣΤΗΚΕ Ο ΝΕΑΡΟΣ 30 Οκτ 2025 | 00:04

Σοκ στο Λονδίνο: 22χρονος σκότωσε έναν και τραυμάτισε δύο άτομα με μαχαίρι

Σύμφωνα με βρετανικά ΜΜΕ, ο συλληφθείς είναι Αφγανός υπήκοος - Το υπουργείο Εσωτερικών δεν έδωσε άλλες διευκρινίσεις.

"ΕΣΠΡΩΧΝΕ" ΚΑΙ ΝΑΡΚΩΤΙΚΑ 29 Οκτ 2025 | 23:45

Σάλος στη Βρετανία: Νεαρή δεσμοφύλακας έκανε σεξ με κρατούμενους εντός φυλακής - Χρησιμοποίησε μέχρι και χώρο προσευχής

Η 23χρονη αξιοποίησε τις σχέσεις της με κρατούμενους για να "τρέχει" τις... δουλειές της εντός φυλακών

Ο ΑΡΧΙΤΕΚΤΟΝΑΣ ΤΟΥ BREXIT 28 Οκτ 2025 | 21:05

Βρετανία: Για πρώτη φορά ο Νάιτζελ Φάρατζ περνά μπροστά στις δημοσκοπήσεις ως "καταλληλότερος για πρωθυπουργός"

Ο επικεφαλής του Reform UK συγκεντρώνει την προτίμηση του 33% των ερωτηθέντων, έναντι 30% για τον σημερινό πρωθυπουργό - Στο χαμηλότερο ποσοστό τους οι Εργατικοί.

ΤΟ ΠΙΟ ΔΥΣΚΟΛΟ ΣΤΑΔΙΟ 27 Οκτ 2025 | 18:09

Γωγώ Βασιλάκου: "Είχα το τρίτο στάδιο και ζω" - Η συγκλονιστική μάχη της με τον καρκίνο

"Έχασα πολύ χρόνο. Είχα επιθετικό καρκίνο και όταν διαγνώστηκα ήμουν στο τρίτο στάδιο".

«Ο ΧΡΟΝΟΣ ΕΙΝΑΙ ΖΩΗ» 27 Οκτ 2025 | 15:16

Συγκινήθηκε ο Κρατερός Κατσούλης: "Ο καρκίνος σε κάνει να μη χάνεις χρόνο. I know"

H εξομολόγηση της ηθοποιού Κατερίνας Φελλά για τον καρκίνο του μαστού

ΕΡΕΥΝΑ 27 Οκτ 2025 | 06:17

Τι μπορούμε να κάνουμε σήμερα για να προλάβουμε την εμφάνιση καρκίνου αργότερα - Τι ρόλο παίζουν τα περιττά κιλά

Παράγοντες όπως η διατροφή, η φυσική δραστηριότητα, το κάπνισμα και η κατανάλωση αλκοόλ φαίνεται να επηρεάζουν ουσιαστικά

ΕΞΕΛΙΞΕΙΣ ΣΤΗ ΣΥΓΚΛΟΝΙΣΤΙΚΗ ΥΠΟΘΕΣΗ 24 Οκτ 2025 | 23:23

Βρετανία: 42 χρόνια κάθειρξη στον Κολομβιανό πορνοστάρ που σκότωσε δύο ηλικιωμένους και διαμέλισε τα πτώματά τους

Ο 35χρονος Γιόστιν Αντρές Μοσκέρα καταδικάστηκε για τη δολοφονία των Άλμπερτ Αλφόνσο (62 ετών) και Πολ Λονγκγουόρθ (71 ετών)

24 Οκτ 2025 | 17:20

Βρετανία: Κατάσχεση-ρεκόρ παράνομων ενέσιμων φαρμάκων για απώλεια βάρους

Kατασχέθηκαν 2.000 σύριγγες με τις ουσίες τιρζεπατίδη και ρετατρουτίδη –φάρμακα που δεν έχουν εγκριθεί στη Βρετανία για την απώλεια βάρους

ΑΠΟΚΑΛΥΨΕΙΣ ΑΠΟ ΤΟΝ ΒΙΟΓΡΑΦΟ ΤΟΥ 23 Οκτ 2025 | 19:09

Ο σεξομανής πρίγκιπας Άντριου είχε φτιάξει δικό του "δίκτυο" για να βρίσκει γυναίκες - Προτιμούσε ξανθές μπαλαρίνες

Ο πρίγκιπας Άντριου ζητούσε από όλους στον κύκλο του να του βρουν γυναίκες με τις οποίες θα μπορούσε να βγει ραντεβού

ΝΕΑ ΜΕΛΕΤΗ 23 Οκτ 2025 | 06:30

Ελπίδα στους καρκινοπαθείς δίνουν τα εμβόλια mRNA- Πώς "εκπαιδεύουν" το ανοσοποιητικό να πολεμά τους όγκους

Ασθενείς με καρκίνο που είχαν κάνει εμβόλιο mRNA για την Covid, πριν ξεκινήσουν ανοσοθεραπεία, έζησαν σημαντικά περισσότερο σε σχέση με εκείνους που δεν είχαν εμβολιαστεί.

ΕΛΠΙΔΑ ΓΙΑ ΤΟΥΣ ΝΟΣΟΥΝΤΕΣ 22 Οκτ 2025 | 20:32

Κορονοϊός: Το εμβόλιο mRNA έδωσε επιπλέον ζωή σε καρκινοπαθείς - Πυροδοτεί ανοσολογική αντίδραση κατά της νόσου

Η παρατήρηση σηματοδοτεί ένα σημαντικό βήμα προς ένα πολυαναμενόμενο καθολικό εμβόλιο κατά του καρκίνου

ΠΩΣ ΕΓΙΝΕ 22 Οκτ 2025 | 18:02

Βρετανία: Ασθενής με νόσο Πάρκινσον παίζει κλαρινέτο την ώρα που υποβάλλεται σε χειρουργείο στον εγκέφαλο [βίντεο]

Η συνταξιούχος λογοθεραπεύτρια Ντενίζ Μπέικον υποβλήθηκε σε βαθιά εγκεφαλική διέγερση (DBS) μετά από συμπτώματα της νόσου του Πάρκινσον - Πώς κατάφερε και έπαιζε κλαρινέτο μέσα στο χειρουργείο

ΤΙ ΕΙΠΕ ΕΚΠΡΟΣΩΠΟΣ ΤΟΥ 21 Οκτ 2025 | 09:16

Ο Τζο Μπάιντεν ολοκλήρωσε μια σειρά ακτινοθεραπείας κατά του καρκίνου

Ο πρώην πρόεδρος των ΗΠΑ Τζο Μπάιντεν, ολοκλήρωσε μια σειρά ακτινοθεραπείας στη μάχη του κατά του καρκίνου του προστάτη, δήλωσε εκπρόσωπός του στο CNN.

ΒΡΕΤΑΝΟΣ ΜΟΝΑΡΧΗΣ 20 Οκτ 2025 | 17:23

Στη συναγωγή του Μάντσεστερ όπου έγινε η επίθεση με μαχαίρι ο βασιλιάς Κάρολος - Φόρεσε και το "κιπά" [εικόνες]

Ο βασιλιάς Κάρολος θέλησε να δείξει την υποστήριξή του προς την εβραϊκή κοινότητα μετά την επίθεση στη συναγωγή του Μάντσεστερ, όπου δύο άνθρωπο σκοτώθηκαν στις αρχές του μήνα

ΞΕΚΙΝΟΥΝ ΟΙ ΔΟΚΙΜΕΣ 20 Οκτ 2025 | 06:31

Επαναστατική θεραπεία κατά του καρκίνου σταματά την ανάπτυξη όγκων χωρίς να βλάπτει υγιή κύτταρα

Μια νέα, ελπιδοφόρα θεραπεία υπόσχεται να αλλάξει ριζικά τον τρόπο αντιμετώπισης του καρκίνου. Ξεκινούν οι κλινικές δοκιμές σε ανθρώπους.

ΦΑΙΔΡΟΣ ΚΑΙ ΧΩΡΙΣ ΕΝΣΥΝΑΙΣΘΗΣΗ 18 Οκτ 2025 | 20:11

Πρίγκιπας Άντριου: Πώς ο αγαπημένος γιος της Ελισάβετ έγινε η ντροπή της βασιλικής οικογένειας - Οι 12 σταθμοί της πτώσης του

Επί τέσσερις δεκαετίες ήταν το μαύρο πρόβατο της βασιλικής οικογένειας - Πλέον, Κάρολος τον βάζει στο περιθώριο - Δώδεκα σταθμοί στην πορεία του πρίγκιπα Άντριου προς την παραίτηση

ΤΟ ΜΗΝΥΜΑ ΤΗΣ 16 Οκτ 2025 | 19:06

H ιστορία της Στέλλας Σπανουδάκη - Σοκαριστική καταγγελία για γιατρό: Την παραμόρφωσε ενώ είχε νικήσει καρκίνο στη γλώσσα

Η καταγγελία γυναίκας μετά τη σοκαριστική παραμόρφωση που υπέστη από τον "Dr Krueger"

ΚΡΟΥΕΙ ΤΟΝ ΚΩΔΩΝΑ 16 Οκτ 2025 | 18:09

Ο επικεφαλής της βρετανικής MI5 προειδοποιεί: Η τεχνητή νοημοσύνη χωρίς έλεγχο μπορεί να απειλήσει την ανθρωπότητα

Οι ηγέτες της τεχνολογίας έχουν προειδοποιήσει για τους κινδύνους της ανεξέλεγκτης Τεχνητής Νοημοσύνης και ότι οι άνθρωποι θα πρέπει να ανησυχούν για ένα μέλλον τύπου "Terminator"

ΔΕΝ ΠΡΟΕΙΔΟΠΟΙΟΥΣΑΝ 16 Οκτ 2025 | 15:47

Χιλιάδες αγωγές κατά της Johnson & Johnson για το διάσημο ταλκ για μωρά: Η εταιρεία γνώριζε για τις καρκινογόνες ουσίες

Σάλος με την πώληση πούδρας μωρού που περιέχει τάλκη - Σταμάτησε στο Ηνωμένο Βασίλειο το 2023