Γράφει ο: Γεώργιος Δ. Κυριάκου, MD, PhD, FEBU, Διευθυντής Κέντρου Ελάχιστα Επεμβατικής Ουρολογίας, Ιατρικό Αθηνών, Έμμισθο Διδακτικό Μέλος IRCAD/EITS, Ιατρική Σχολή Στρασβούργου

Ο καρκίνος προστάτη αποτελεί τον πιο συχνό αλλά και περισσότερο ιάσιμο καρκίνο στον ανδρικό πληθυσμό, αν αυτός διαγνωσθεί σε αρχικά στάδια. Ακόμη όμως και σε πιο προχωρημένο στάδιο, η επιβίωση είναι μακρά.

Ακριβώς λοιπόν λόγω και της μεγάλης επίπτωσης αυτού του νεοπλάσματος, έχουν προταθεί, υιοθετηθεί και υλοποιηθεί νεώτερες πρακτικές, διαγνωστικές αλλά και θεραπευτικές, ώστε να παρέχεται στον άνδρα ασθενή η ασφαλέστερη, εγκυρότερη διάγνωση με τις κατάλληλες για τον κάθε ασθενή θεραπείες.
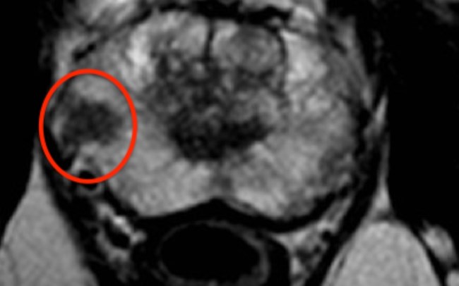
Όταν το PSA ή/και η Δακτυλική εξέταση (ΔΕΠ) θέτουν τέτοιες υπόνοιες, ο ασθενής χρήζει μιας ειδικής μαγνητικής, την Πολυπαραμετική Μαγνητική Τομογραφία Προστάτη. Αυτή αποτελεί τη μοναδική απεικονιστική εξέταση που μπορεί να ανιχνεύσει κλινικά σημαντική εστία καρκίνου προστάτη ακόμα και διαμέτρου λίγων χιλιοστών.
Με οδηγό την πολυπαραμετρική μαγνητική, θα ακολουθήσει η Βιοψία προστάτη. Αυτή θα πρέπει να λαμβάνεται όχι μόνο από κάθε περιοχή του προστάτη, αλλά και στοχευμένα από την ύποπτη περιοχή που υποδεικνύει η μαγνητική (σύστημα fusion).

Mέχρι πριν από λίγο καιρό, οι βιοψίες προστάτη πραγματοποιούνταν από το ορθό. Το μειονέκτημά τους είναι η πιθανότητα μικροβιαιμίας και σηψαιμίας, λόγω του ότι μικρόβια του εντέρου μπορεί να εισέλθουν στην κυκλοφορία. Άλλο μειονέκτημα αποτελεί η εντερορραγία, δηλαδή μεγάλη αποβολή αίματος από το ορθό, αν υπάρξει τρώση μεγάλου αγγείου από τη βελόνη. Επίσης, σε άνδρες με αιμορροϊδες και ραγάδες πρωκτού, λόγω του κυλίνδρου των υπερήχων μέσω του ορθού, υπολείπεται μεγάλος ερεθισμός για ημέρες. Όλα αυτά ξεπεράστηκαν, χάρη στις βιοψίες προστάτη διαμέσου του περινέου-διαπερινεϊκές βιοψίες με το σύστημα fusion. Όλες οι παραπάνω επιπλοκές εξαλείφονται, διότι παρακάμπτεται το ορθό. Επίσης, με τις διαπερινεϊκές, μπορούν να βιοψηθούν και περιοχές απομακρυσμένες, όπως στην πρόσθια επιφάνεια του προστάτη, που πιθανά να διέφευγαν των διορθικών βιοψιών.
Αν τεθεί η διάγνωση, θα πρέπει να συναποφασιστεί από τον ασθενή και τον ουρολόγο του η κατάλληλη θεραπεία.
Καταρχήν, υπάρχει ο πολύ χαμηλού και ο χαμηλού κινδύνου καρκίνος προστάτη. Στην περίπτωση αυτή, αν στον ασθενή προταθεί κατευθείαν ριζική προστατεκτομή, ειδικά αν είναι πάνω από 70 ετών, σίγουρα αποτελεί μια μορφή υπερθεραπείας (overtreatment). Στον ασθενή αυτόν εναλλακτικά μπορεί να προταθεί:
Στενή παρακολούθηση (active surveillance). H παρακολούθηση αποτελεί συμμόρφωση του ασθενούς σε πρωτόκολλο παρακολούθησης με PSA, επανάληψη ενδεχομένως της Πολυπαραμετρικής Μαγνητικής και των βιοψιών. Θα πρέπει να διασφαλιστεί στον ασθενή πως δε θα ξεφύγει η νόσος αν αυτός τηρεί πιστά το πρωτόκολλο.
Εστιακή Θεραπεία. Αποτελεί θεραπεία μεταξύ του "δεν κάνω τίποτα και παρακολουθώ, και της ριζικής προστατεκτομής" ή της ακτινοθεραπείας, που αποτελούν ριζικές θεραπείες. Στο Κέντρο της Ελάχιστα Επεμβατικής Ουρολογίας του Ιατρικού Αθηνών, εφαρμόζεται η εστιακή θεραπεία τα τελευταία έτη με εξαιρετικά ογκολογικά και λειτουργικά αποτελέσματα. Αποτελεί θερμική καταστροφή του καρκινικού ιστού στον προστάτη μέσω ραδιοκυμάτων από το ορθό, που πραγματοποιείται από το ρομποτικό σύστημα FocalOne.

Mπορεί να θερμοκαυτηριαστεί μόνο η εστία που φαίνεται από την Πολυπαραμετρική Μαγνητική και έχει βιοψηθεί, αλλά και γειτονικές περιοχές ή ακόμα και όλος ο προστάτης, αν υπάρχουν στη βιοψία διάσπαρτες μικρές εστίες. Ο ασθενής εξέρχεται την ίδια ή την επόμενη ημέρα. Δεν επηρεάζεται η εγκράτεια των ούρων. Αν θερμοκαυτηριαστεί όλος ο προστάτης, τότε μόνο μπορεί να επηρεαστεί η στυτική ικανότητα, αλλά και πάλι σε πολύ μικρότερο ποσοστό απ’ ότι στη ριζική προστατεκτομή.

Ας σημειωθεί πως η εστιακή θεραπεία FocalOne μπορεί να πραγματοποιηθεί ξανά σε περίπτωση υποτροπής της νόσου.
Η θερμοκαυτηρίαση προστάτη με το ρομποτικό σύστημα FocalOne ενδείκνυται σε:
- χαμηλού και μέτριου κινδύνου καρκίνο προστάτη (Gleason score 3+3 και 3+4 και με PSA<15 ng/ml
- πιο ηλικιωμένους ασθενείς (ο καρκίνος του προστάτη δε θα προλάβει να τους απειλήσει, οπότε η εστιακή θεραπεία αποτελεί πολύ καλή εναλλακτική λύση),
- σε άνδρες με σοβαρά καρδιοαναπνευστικά και άλλα προβλήματα που δε μπορούν να λάβουν πολύωρη νάρκωση για ριζικό χειρουργείο,
- άνδρες με πολλαπλές επεμβάσεις στην κοιλιακή χώρα μη κατάλληλοι υποψήφιοι για χειρουργείο,
- εξαιρετική ένδειξη της εστιακής θεραπείας με FocalOne αποτελεί η υποτροπή του καρκίνου προστάτη σε ασθενείς που είχαν επιλέξει να λάβουν ακτινοθεραπεία κι όχι χειρουργική λύση (η ριζική προστατεκτομή μετά από ακτινοβολία ενέχει τον κίνδυνο σοβαρών επιπλοκών).
Εάν αποφασιστεί ριζική χειρουργική θεραπεία, η ενδεδειγμένη ομόφωνα από τη διεθνή παγκόσμια βιβλιογραφία τεχνική αποτελεί η ρομποτική ριζική προστατεκτομή με το σύστημα daVinci. Γιατί αυτή υπερτερεί έναντι της ανοικτής:
- oγκολογικά και για όλα τα στάδια του καρκίνου του προστάτη έχει καθαρότερα υγιή όρια εκτομής του προστάτη και των σπερματοδόχων κύστεων από την κακοήθεια, παράγοντας σημαντικός για τη μη ή καθυστερημένη υποτροπή του προστατικού καρκίνου
- όταν ο προστατικός καρκίνος είναι μέτρια επιθετικός (Gleason score 4+3) ή επιθετικός (Gleason score 8, 9, 10) ή πιο προχωρημένου σταδίου και απαιτείται αφαίρεση και των λεμφαδένων της πυέλου (λεκάνης), ο αριθμός των αφαιρούμενων λεμφαδένων υπερέχει κατά πολύ με τη ρομποτική, άρα ο "καθαρισμός" λεμφαδένων πολύ καλύτερος. Αν λοιπόν αφαιρούνται λεμφαδένες με μεταστατική διήθηση και το χειρουργικό πεδίο καθαρότερο, καθυστερεί η υποτροπή της νόσου και ενδεχόμενες συμπληρωματικές θεραπείες, όπως ακτινοθεραπεία, λαμβάνουν χώρα όταν οι χειρουργημένοι ιστοί έχουν αναλάβει καλύτερα σε επούλωση
- το σύνολο των χειρουργικών επιπλοκών είναι μειούμενο σε σχέση με την ανοικτή ριζική προστατεκτομή, άρα ο αριθμός των επανεπεμβάσεων και επανεισαγωγών στο νοσοκομείο για επιπλοκή μικρότερος
- η πιθανότητα μετάγγισης αίματος, που χειρουργικά θεωρείται επιπλοκή, είναι πολύ μικρή υπέρ της ρομποτικής ριζικής προστατεκτομής
- η ταχύτερη ανάκτηση της εγκράτειας και της στυτικής ικανότητας υπερτερούν υπέρ της ρομποτικής
Το Κέντρο της Ελάχιστα Επεμβατικής Ουρολογίας του Ιατρικού Αθηνών έχει πραγματοποιήσει αριθμό ρομποτικών ριζικών προστατεκτομών από τους μεγαλύτερους στη χώρα. Τα ογκολογικά αποτελέσματα είναι καλύτερα από το μέσο όρο των περιστατικών της παγκόσμιας βιβλιογραφίας, χάρη στην εμπειρία και τη βαθιά προεγχειρητική μελέτη των ασθενών από ένα συμβούλιο ουρολόγων, ακτινολόγων, ογκολόγων και ακτινοθεραπευτών. Οι καινοτομίες και τα βήματα για τα καλύτερα ογκολογικά αποτελέσματα, όπως και για τα λειτουργικά αντίστοιχα (εγκράτεια και στυτική ικανότητα) περιλαμβάνουν:
- Την εξονυχιστική μελέτη της πολυπαραμετρικής μαγνητικής τομογραφίας του προστάτη σε συνδυασμό με την τοπογραφία των θετικών βιοψιών (όρια του όγκου από την κάψα, νόσος σε περισσότερες εστίες και πού στον προστάτη, απόσταση του καρκίνου από τα αγγειονευρώδη δεμάτια του προστάτη υπεύθυνα για τη στύση κλπ)-λογισμικό του ρομπότ
- Γνώση της ανατομίας και της διατήρησης ιστών υπεύθυνων για την εγκράτεια των ούρων (πολύ καλή κινητοποίηση ττης ουροδόχου κύστης για εξάλειψη τάσης, αναγνώριση του συνόλου των μυϊκών ινών του σφιγκτήρα, ει δυνατόν διατήρηση του έσω σφιγκτήρα κλπ.
- Γνώση της ανατομίας και αναγνώριση και διατήρηση των νεύρων των υπεύθυνων για τη στύση, μη έλξη αυτών ώστε να μην πραγματοποιηθεί η λεγόμενη "νευροαπραξία", που οδηγεί σε αναπηρία των νεύρων, καθώς και μετεγχειρητικές συνεδρίες με κρουστικά κύματα, απαραίτητα για την αναζωογόνηση της αιμάτωσης των νεύρων αυτών
- Υιοθέτηση της υβριδικής τεχνικής. Η υβριδική τεχνική αποτελεί συνδυασμό 2 τεχνικών. Συνδυάζει την οπίσθια τεχνική για την καλύτερη διατήρηση των στυτικών νεύρων αλλά και την εγκράτεια των ούρων με την πρόσθια προσπέλαση για τη μείωση των θετικών χειρουργικών ορίων (όρια άνευ καρκίνου). Για την καλύτερη διατήρηση και πρώιμη ανάκτηση της εγκράτειας διατηρούμε τις δομές πάνω και γύρω από το σφιγκτήρα, ώστε η ουρήθρα να μην παραμείνει ελεύθερη και κινητή (αν κινητό κολόβωμα της ουρήθρας μειώνεται η πρώιμη εγκράτεια των ούρων). Ας σημειωθεί, ότι αυτή η εξελιγμένη τεχνική διδάσκεται και στο Κέντρο Λαπαροσκοπικής και Ρομποτικής χειρουργικής εκπαίδευσης στο IRCAD/EITS Ιατρικής Σχολής Στρασβούργου.
Σε περιπτώσεις τοπικά προχωρημένου καρκίνου προστάτη ή με μεταστάσεις σε λεμφαδένες γνωστές από πριν ή ακόμη και σε ολιγομεταστατική νόσο (λιγότερες από 3 οστικές μεταστάσεις), πραγματοποιείται συνεργασία και ογκολογικά πρωτόκολλα για ειδική φαρμακολογική αγωγή με ογκολογικά κέντρα του εξωτερικού, όπως MDAnderson, Houston, Bordeaux. Στις περιπτώσεις αυτές έχει καταδειχθεί πως θεραπείες φαρμακολογικές σε συνδυασμό με τη ρομποτική ριζική προστατεκτομή υπόσχονται καλύτερη επιβίωση με εξαιρετική πάνω απ’όλα ποιότητα ζωής για τον ασθενή.
Συμπερασματικά, ένα άρτια επιστημονικό κέντρο καρκίνου προστάτη, χρειάζεται να παρέχει όλες τις δυνατές παρεμβατικές και χειρουργικές θεραπείες, εξατομικεύοντας την κάθε περίπτωση προστατικού καρκίνου για τον κάθε ασθενή, με τα δικά του προβλήματα υγείας, προσαρμοσμένες στην ιδιοσυγκρασία του και ψυχοσύνθεση, του τι μπορεί να ανεχτεί και τι όχι. Ο ασθενής πρέπει να επιλέγει το τι επιθυμεί για τον εαυτό του, αφού έχει την καλύτερη πληροφόρηση από τον ουρολόγο του και πάντα με βαρύτερο γνώμονα την ογκολογική του ασφάλεια, αλλά και την ψυχική!
Διαβάστε περισσότερα άρθρα για θέματα που αφορούν την υγείας σας, εδώ
Οι πιο πρόσφατες Ειδήσεις
Διαβάστε πρώτοι τις Ειδήσεις για ό,τι συμβαίνει τώρα στην Ελλάδα και τον Κόσμο στο thetoc.gr